Süni intellekt rentgenoqrafiyadan insanın yaşını təxmin edir
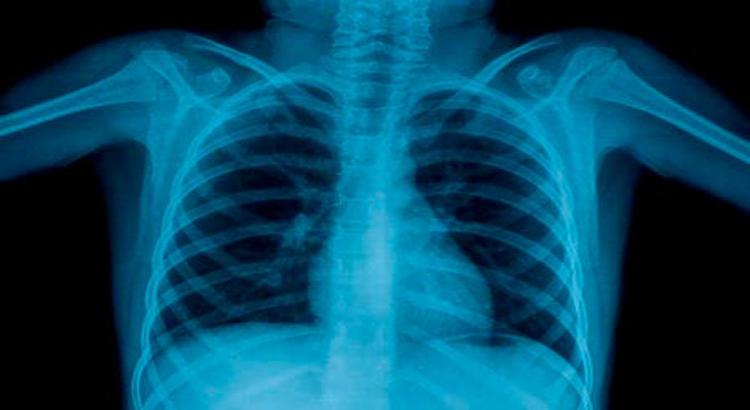
Alimlər insanın bioloji yaşını təyin etmək üçün döş qəfəsinin rentgen şüalarını oxuya bilən süni intellekt (AI) modeli hazırlayıb. Yaponiyanın Osaka Metropolitan Universitetinin tədqiqatçıları müəyyən ediblər ki, süni intellektin proqnozlaşdırdığı yaş insanın həqiqi yaşı ilə müqayisədə nə qədər çox olarsa, fərdlərin xroniki xəstəliyə tutulma ehtimalı bir o qədər yüksəkdir. Tədqiqatın müəlliflərindən olan Yasuhito Mitsuyamanın sözlərinə görə, nəticələr göstərir ki, döş qəfəsinin rentgenoqrafiyasına əsaslanan görünən yaş xronoloji yaşdan kənarda sağlamlıq vəziyyətini dəqiq şəkildə əks etdirməyə qadirdir. Xroniki xəstəliklərin şiddətini, gözlənilən ömür müddətini və mümkün cərrahi ağırlaşmaları proqnozlaşdırmaq üçün tətbiq daha da inkişaf etdiriləcək.
Tədqiqatçılar döş qəfəsinin rentgenoqrafiyasını və ya rentgen şüalarını oxuya bilən süni intellekt modeli yaratmaq üçün sağlam fərdlərdən alınan 67 min döş qəfəsinin rentgenoqrafiyasından istifadə ediblər. Sağlam fərdlər üçün süni intellektin təxmin etdiyi yaş ilə insanın xronoloji yaşı arasında güclü korrelyasiya əldə olunub. Onlar, həmçinin məlum xəstəlikləri olan insanların döş qəfəsinin 34 mindən çox rentgenoqrafiyasını sınaqdan keçiriblər. Süni intellektin proqnozlaşdırdığı bu tətbiqin hipertoniya, xroniki obstruktiv ağciyər, qaraciyər və xroniki böyrək çatışmazlığı kimi bəzi xəstəliklər üçün insanın həqiqi yaşı ilə müqayisədə daha yüksək yaş verdiyi təsbit edilib. Ancaq pnevmoniya kimi kəskin xəstəliklər üçün korrelyasiya daha aşağı olub. Bu nəticə o deməkdir ki, süni intellekt döş qəfəsinin rentgenoqrafiyasında kəskin deyil, xroniki dəyişiklikləri ələ keçirir, bu ağlabatandır, çünki yaşlanma zamanla yığılan xroniki dəyişikliklərin nəticəsidir.
Alimlərin fikrincə, bu süni intellekt modeli yaşa bağlı xəstəliklərin göstəricisi ola, erkən diaqnoz və müdaxiləyə kömək edə bilər.
- Baxış: 708
